臨床醫師實踐技能輔導:胸痛練習
更新時間:2010-05-25 16:54:51
來源:|0
瀏覽
收藏
臨床執業醫師報名、考試、查分時間 免費短信提醒
臨床醫師實踐技能輔導:胸痛練習
1. 一位68歲男性患者因“胸痛半小時”來到急診就診。患者今早無明顯誘因突然出現心前區悶痛,壓迫感,向左肩放射,休息有所減輕。昨日也有一次類似發作。既往高血壓病10年,服用倍他樂克控制。體檢BP160/90mmHg,心率60次/分。ECG見圖。
考慮診斷:
A. 急性心肌梗塞
B. 穩定型心絞痛
C. 不穩定型心絞痛
D. 反流性食管炎
E. 心包炎
1. 60歲女性因“胸痛3小時”來診。ECG如下

考慮診斷:
A. 不穩定心絞痛
B. 急性心肌梗塞
C. 急性心包炎
D. 肺栓塞
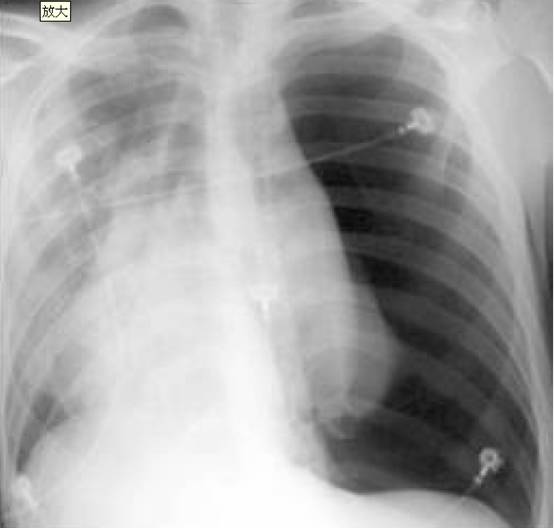
1. 20歲男性因“呼吸困難半小時”來診,伴有大汗、心悸。胸片如圖

考慮診斷:
A. 右側肺炎
B. 左側肺栓塞
C. 左側氣胸
D. 右側肺不張
1. 男性,30歲,因“右側胸痛伴發熱”來診,T38.8℃,查體右下肺叩診濁音,呼吸音低,右下后背部可聞及支氣管呼吸音,考慮診斷:
A. 右側胸膜炎
B. 右側肺葉實變
C. 右下肺不張
D. 右下肺癌
答案:1. C; 2. B; 3. C; 4.B
- 更多信息訪問:臨床助理醫師考試頻道 臨床助理醫師考試論壇 醫師博客
編輯推薦
上一篇:臨床醫師實踐技能輔導:胸痛常見病
下一篇:臨床醫師實踐技能輔導:胸痛匯總
最新資訊
- 干貨!臨床執業醫師資格考試50個歷年考試要點分享2024-09-16
- 臨床執業醫師資格考試備考筆記--運動系統(骨腫瘤)2024-09-08
- 臨床執業醫師資格考試備考筆記--運動系統(骨結核)2024-09-07
- 備考分享:臨床執業醫師資格考試醫學綜合考試外科知識點2024-09-04
- 臨床執業醫師資格考試備考筆記--傳染病(細菌性痢疾)2024-09-01
- 臨床執業醫師資格考試備考筆記--傳染病(霍亂)2024-08-31
- 臨床執業醫師資格考試備考筆記--傳染病(傷寒)2024-08-25
- 臨床執業醫師資格考試備考筆記--傳染病(鉤端螺旋體病)2024-08-24
- 臨床執業醫師資格考試備考筆記--傳染病(流行性乙型腦炎(乙腦))2024-08-23
- 考前看!臨床執業醫師資格考試高頻考點100個(二)2024-08-15